Em Alta News

  • Brasileiro que doou medula óssea 3 vezes: “Super-herói da vida real”

    Brasileiro que doou medula óssea 3 vezes: “Super-herói da vida real”

    663 ações
    Compartilhar 265 Tweet 166
  • Super Viagra: cientistas testam pílula significativamente mais forte

    642 ações
    Compartilhar 257 Tweet 161
  • Dúvida entre intercorrência e erro médico gera onda de ações judiciais

    606 ações
    Compartilhar 242 Tweet 152
  • Mulher descobre que desejo por alvejante em pó era causado por anemia

    597 ações
    Compartilhar 239 Tweet 149
  • Diaba Loira é morta a tiros após confronto entre CV e TCP. Veja vídeo

    593 ações
    Compartilhar 237 Tweet 148
  • Bar LGBT inaugura “mamódromo” e promove suruba beneficente. Veja fotos

    587 ações
    Compartilhar 235 Tweet 147
JKreativ WordPress theme
  • Tendendo
  • Comentários
  • Mais recente
Brasileiro que doou medula óssea 3 vezes: “Super-herói da vida real”

Brasileiro que doou medula óssea 3 vezes: “Super-herói da vida real”

14 de julho de 2025
Super Viagra: cientistas testam pílula significativamente mais forte

Super Viagra: cientistas testam pílula significativamente mais forte

20 de julho de 2025
Dúvida entre intercorrência e erro médico gera onda de ações judiciais

Dúvida entre intercorrência e erro médico gera onda de ações judiciais

4 de outubro de 2025
Mulher descobre que desejo por alvejante em pó era causado por anemia

Mulher descobre que desejo por alvejante em pó era causado por anemia

10 de setembro de 2025

Arena noivas: maior evento de noivas do Distrito Federal está de volta em sua 2ª edição

0

Sumo sacerdote nigeriano de Ifá participa de visita guiada ao Panteão Afro da Praça dos Orixás, em Brasília

0

Interdições no trânsito do Parque da Cidade neste domingo  

0

Em Ilhéus, ministro Renan Filho lança nesta segunda-feira (3) obras do lote 1F da Fiol

0
Veja como ficará o Setor Comercial Sul de Brasília após revitalização

Veja como ficará o Setor Comercial Sul de Brasília após revitalização

10 de novembro de 2025
Imagens fortes: mulher é perseguida e atropelada pelo ex-marido

Imagens fortes: mulher é perseguida e atropelada pelo ex-marido

10 de novembro de 2025
Empresa de home care deixará o SUS e famílias do DF temem apagão

Empresa de home care deixará o SUS e famílias do DF temem apagão

10 de novembro de 2025
Menino de 11 anos espancado por gangue no lugar do irmão recebe alta

Menino de 11 anos espancado por gangue no lugar do irmão recebe alta

10 de novembro de 2025
  • Tendendo
  • Comentários
  • Mais recente
Brasileiro que doou medula óssea 3 vezes: “Super-herói da vida real”

Brasileiro que doou medula óssea 3 vezes: “Super-herói da vida real”

14 de julho de 2025
Super Viagra: cientistas testam pílula significativamente mais forte

Super Viagra: cientistas testam pílula significativamente mais forte

20 de julho de 2025
Dúvida entre intercorrência e erro médico gera onda de ações judiciais

Dúvida entre intercorrência e erro médico gera onda de ações judiciais

4 de outubro de 2025

Arena noivas: maior evento de noivas do Distrito Federal está de volta em sua 2ª edição

0

Sumo sacerdote nigeriano de Ifá participa de visita guiada ao Panteão Afro da Praça dos Orixás, em Brasília

0

Interdições no trânsito do Parque da Cidade neste domingo  

0
Veja como ficará o Setor Comercial Sul de Brasília após revitalização

Veja como ficará o Setor Comercial Sul de Brasília após revitalização

10 de novembro de 2025
Imagens fortes: mulher é perseguida e atropelada pelo ex-marido

Imagens fortes: mulher é perseguida e atropelada pelo ex-marido

10 de novembro de 2025
Empresa de home care deixará o SUS e famílias do DF temem apagão

Empresa de home care deixará o SUS e famílias do DF temem apagão

10 de novembro de 2025
  • Quem Somos
  • Anuncie
  • Privacy & Policy
  • Contatos
10 de novembro de 2025
  • Conecte-se
  • Registro
Capital Brasília
  • Home
  • Brasil
  • Brasília
  • Política
  • Saúde
  • Esportes
  • Entretenimento
  • Mundo
Nenhum resultado
Ver todos os resultados
Capital Brasília
Nenhum resultado
Ver todos os resultados
Home Saúde

Gordura no fígado: sintomas e como é feito o tratamento da condição

por Redação Capital Brasília
5 de novembro de 2025
em Saúde
240 13
0
Gordura no fígado: sintomas e como é feito o tratamento da condição
491
COMPARTILHAMENTO
1.4k
VIEWS
Share on FacebookShare on TwitterWhatsApp

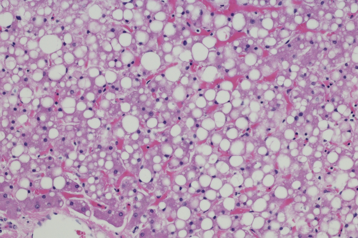
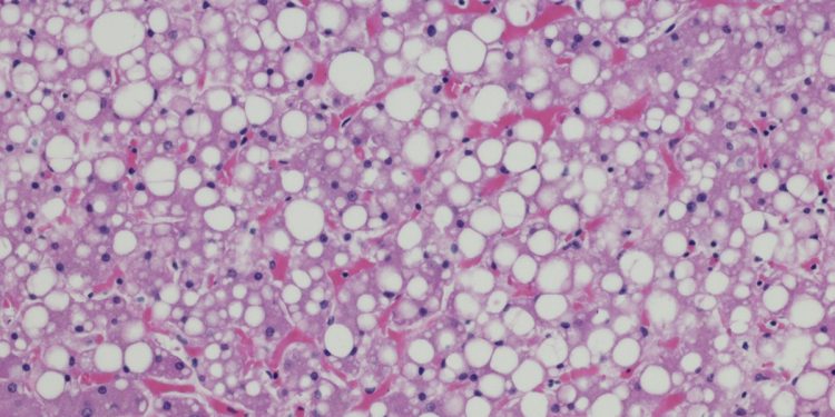
Cada vez mais comum entre os brasileiros, a esteatose hepática, conhecida popularmente como gordura no fígado, é uma condição muitas vezes silenciosa, mas que pode causar problemas sérios.

O quadro, que está relacionado à obesidade, sedentarismo e resistência à insulina, é caracterizado pelo acúmulo de células de gordura no tecido do fígado.

“O problema começa de forma discreta, mas pode evoluir para inflamações crônicas e fibrose, aumentando o risco de cirrose e câncer de fígado”, explica o endocrinologista Paulo Bittencourt, presidente do Instituto Brasileiro do Fígado (Ibrafig).

O fígado é um órgão conhecido por conseguir se regenerar em várias situações. Porém, a fibrose e a cirrose não são doenças que podem ser corrigidas com o poder de transformação do órgão. Por isso, é essencial fazer exames regulares para verificar a saúde do corpo e do órgão.

Leia também
  • Saúde

    Gordura no fígado: dicas simples para evitar a esteatose hepática
  • Saúde

    Gordura no fígado: confira alimentos benéficos para a saúde do órgão
  • Saúde

    Gordura no fígado: hábitos que ajudam a reverter a esteatose hepática
  • Saúde

    Suspeita de gordura no fígado? Saiba quais são os principais sintomas

Sintomas da gordura no fígado

  • Cansaço frequente e sensação de fraqueza.
  • Desconforto ou dor leve no lado direito do abdômen.
  • Enjoo e perda de apetite.
  • Inchaço abdominal.
  • Alterações nos exames de sangue, com aumento das enzimas hepáticas.

Tratamento e estilo de vida

Apesar de ser uma condição perigosa, a gordura no fígado não costuma ser tratada com medicamentos. A maneira mais simples de lidar com a esteatose é uma mudança do estilo de vida.

“Em geral, quando o paciente adota mudanças consistentes de estilo de vida – com alimentação equilibrada, perda de 7% a 10% do peso corporal e prática regular de exercícios – já é possível observar melhora significativa nas enzimas hepáticas e na quantidade de gordura no fígado em cerca de três a seis meses”, revela a gastro-hepatologista Natália Trevizoli, do Hospital Santa Lúcia Sul, em Brasília.

Ilustração mostra um fígado cheio de gordura e com moléculas de glicose. Gordura no fígado - MetrópolesA esteatose hepática, ou gordura no fígado, pode surgir em pessoas magras ou que se alimentam relativamente bem devido a outros fatores

Siga a editoria de Saúde e Ciência no Instagram e fique por dentro de tudo sobre o assunto!

Compartilhar196Tweet123Enviar
Redação Capital Brasília

Redação Capital Brasília

  • Tendendo
  • Comentários
  • Mais recente
Brasileiro que doou medula óssea 3 vezes: “Super-herói da vida real”

Brasileiro que doou medula óssea 3 vezes: “Super-herói da vida real”

14 de julho de 2025
Super Viagra: cientistas testam pílula significativamente mais forte

Super Viagra: cientistas testam pílula significativamente mais forte

20 de julho de 2025
Dúvida entre intercorrência e erro médico gera onda de ações judiciais

Dúvida entre intercorrência e erro médico gera onda de ações judiciais

4 de outubro de 2025

Arena noivas: maior evento de noivas do Distrito Federal está de volta em sua 2ª edição

0

Sumo sacerdote nigeriano de Ifá participa de visita guiada ao Panteão Afro da Praça dos Orixás, em Brasília

0

Interdições no trânsito do Parque da Cidade neste domingo  

0
Veja como ficará o Setor Comercial Sul de Brasília após revitalização

Veja como ficará o Setor Comercial Sul de Brasília após revitalização

10 de novembro de 2025
Imagens fortes: mulher é perseguida e atropelada pelo ex-marido

Imagens fortes: mulher é perseguida e atropelada pelo ex-marido

10 de novembro de 2025
Empresa de home care deixará o SUS e famílias do DF temem apagão

Empresa de home care deixará o SUS e famílias do DF temem apagão

10 de novembro de 2025
Capital Brasília

Copyright © 2023 Capital Brasília.

Navigate Site

  • Quem Somos
  • Anuncie
  • Privacy & Policy
  • Contatos

Siga nos

Bem vindo de volta!

Entrar na conta

Forgotten Password? Sign Up

Create New Account!

Fill the forms bellow to register

All fields are required. Log In

Retrieve your password

Please enter your username or email address to reset your password.

Log In

Add New Playlist

Nenhum resultado
Ver todos os resultados
  • Home
  • Brasil
  • Brasília
  • Política
  • Esportes
  • Saúde
  • Entretenimento
  • Mundo

Copyright © 2023 Capital Brasília.

Are you sure want to unlock this post?
Unlock left : 0
Are you sure want to cancel subscription?
Vá para versão mobile