Com a chegada do verão, a exposição ao sol aumenta de forma significativa e, com ela, os riscos associados ao câncer de pele, o tipo de tumor mais frequente no Brasil.
Dados da Sociedade Brasileira de Dermatologia (SBD) mostram que a condição responde por cerca de 30% de todos os diagnósticos oncológicos no país, com mais de 220 mil novos casos registrados anualmente — número que tende a crescer nos meses mais quentes.
Leia também
-
Câncer de pele: dermatologista diz como identificar sinais suspeitos
-
“Sou maltratada pela doença e pelo SUS”, diz mulher com câncer de pele
-
Mulher reconhece câncer de pele em pinta, mas médicos não acreditaram
-
Dezembro Laranja: 7 hábitos que elevam o risco de câncer de pele
Para esclarecer dúvidas comuns da população, o oncologista Mateus Marinho, da Croma Oncologia, rede especializada em tratamentos oncológicos integrados e humanizados, reúne cinco pontos essenciais sobre prevenção, diagnóstico e tratamento da condição.
1. Existem dois grandes tipos de câncer de pele
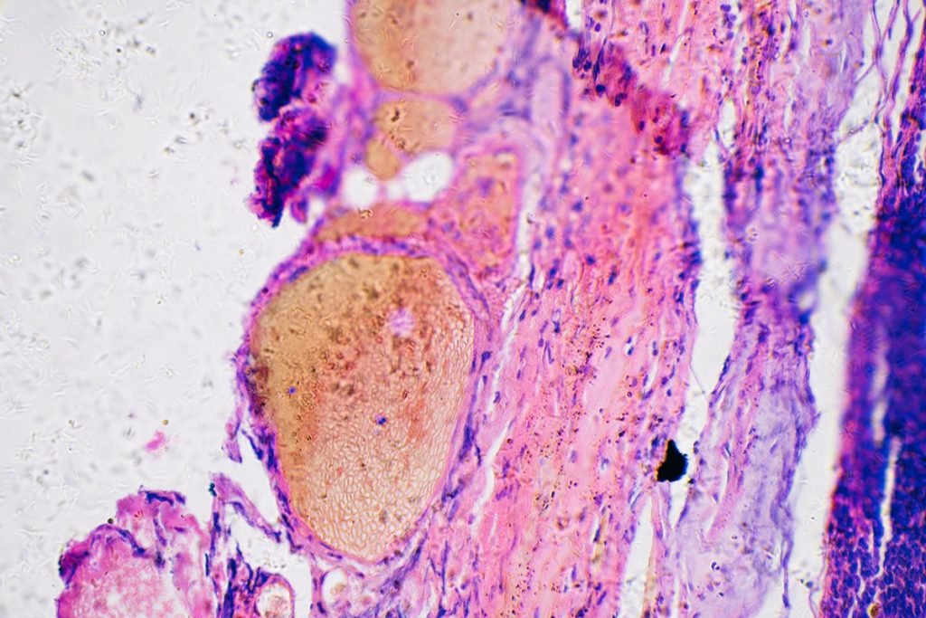
O câncer de pele é dividido em dois grupos principais: melanoma e não melanoma.
O tipo não melanoma, que inclui os carcinomas basocelular e espinocelular, é o mais comum e geralmente está relacionado à exposição solar acumulada ao longo da vida. Quando identificado precocemente, as chances de cura ultrapassam 90%.
Já o melanoma é menos frequente, porém mais agressivo, com maior risco de metástases. Por isso, qualquer lesão nova ou mudança em manchas já existentes deve ser investigada por um dermatologista, com confirmação diagnóstica feita por biópsia.
2. A regra do ABCDE ajuda a identificar lesões suspeitas
Uma das ferramentas mais eficazes para o autoexame da pele é a regra do ABCDE, que avalia assimetria, bordas irregulares, variação de cor, diâmetro maior que 6 milímetros e evolução da lesão.
Além disso, manchas que sangram, coçam, doem ou não cicatrizam em até quatro semanas merecem atenção imediata.
O especialista alerta que melanomas podem surgir em áreas menos óbvias, como couro cabeludo, unhas, palmas das mãos e solas dos pés, reforçando a importância da avaliação completa da pele.
Leia a reportagem completa no Saúde em Dia, parceiro do Metrópoles.
