Em Alta News

  • Brasileiro que doou medula óssea 3 vezes: “Super-herói da vida real”

    Brasileiro que doou medula óssea 3 vezes: “Super-herói da vida real”

    672 ações
    Compartilhar 269 Tweet 168
  • Super Viagra: cientistas testam pílula significativamente mais forte

    646 ações
    Compartilhar 258 Tweet 162
  • Bar LGBT inaugura “mamódromo” e promove suruba beneficente. Veja fotos

    609 ações
    Compartilhar 244 Tweet 152
  • Dúvida entre intercorrência e erro médico gera onda de ações judiciais

    609 ações
    Compartilhar 244 Tweet 152
  • Mulher descobre que desejo por alvejante em pó era causado por anemia

    600 ações
    Compartilhar 240 Tweet 150
  • Diaba Loira é morta a tiros após confronto entre CV e TCP. Veja vídeo

    594 ações
    Compartilhar 238 Tweet 149
JKreativ WordPress theme
  • Tendendo
  • Comentários
  • Mais recente
Brasileiro que doou medula óssea 3 vezes: “Super-herói da vida real”

Brasileiro que doou medula óssea 3 vezes: “Super-herói da vida real”

14 de julho de 2025
Super Viagra: cientistas testam pílula significativamente mais forte

Super Viagra: cientistas testam pílula significativamente mais forte

20 de julho de 2025
Bar LGBT inaugura “mamódromo” e promove suruba beneficente. Veja fotos

Bar LGBT inaugura “mamódromo” e promove suruba beneficente. Veja fotos

12 de janeiro de 2024
Dúvida entre intercorrência e erro médico gera onda de ações judiciais

Dúvida entre intercorrência e erro médico gera onda de ações judiciais

4 de outubro de 2025

Arena noivas: maior evento de noivas do Distrito Federal está de volta em sua 2ª edição

0

Sumo sacerdote nigeriano de Ifá participa de visita guiada ao Panteão Afro da Praça dos Orixás, em Brasília

0

Interdições no trânsito do Parque da Cidade neste domingo  

0

Em Ilhéus, ministro Renan Filho lança nesta segunda-feira (3) obras do lote 1F da Fiol

0
Ex fez videochamada para mostra mulher morta após esfaqueá-la no DF

Ex fez videochamada para mostra mulher morta após esfaqueá-la no DF

10 de março de 2026
Mesmo preso, policial penal que atirou em tatuador recebeu R$ 222 mil

Mesmo preso, policial penal que atirou em tatuador recebeu R$ 222 mil

10 de março de 2026
“Tenho certeza que a Justiça será feita”, diz pai de bebê morto pela mãe no DF

“Tenho certeza que a Justiça será feita”, diz pai de bebê morto pela mãe no DF

10 de março de 2026
Desmame seguro de remédios psiquiátricos evita riscos à saúde. Entenda

Desmame seguro de remédios psiquiátricos evita riscos à saúde. Entenda

10 de março de 2026
  • Tendendo
  • Comentários
  • Mais recente
Brasileiro que doou medula óssea 3 vezes: “Super-herói da vida real”

Brasileiro que doou medula óssea 3 vezes: “Super-herói da vida real”

14 de julho de 2025
Super Viagra: cientistas testam pílula significativamente mais forte

Super Viagra: cientistas testam pílula significativamente mais forte

20 de julho de 2025
Bar LGBT inaugura “mamódromo” e promove suruba beneficente. Veja fotos

Bar LGBT inaugura “mamódromo” e promove suruba beneficente. Veja fotos

12 de janeiro de 2024

Arena noivas: maior evento de noivas do Distrito Federal está de volta em sua 2ª edição

0

Sumo sacerdote nigeriano de Ifá participa de visita guiada ao Panteão Afro da Praça dos Orixás, em Brasília

0

Interdições no trânsito do Parque da Cidade neste domingo  

0
Ex fez videochamada para mostra mulher morta após esfaqueá-la no DF

Ex fez videochamada para mostra mulher morta após esfaqueá-la no DF

10 de março de 2026
Mesmo preso, policial penal que atirou em tatuador recebeu R$ 222 mil

Mesmo preso, policial penal que atirou em tatuador recebeu R$ 222 mil

10 de março de 2026
“Tenho certeza que a Justiça será feita”, diz pai de bebê morto pela mãe no DF

“Tenho certeza que a Justiça será feita”, diz pai de bebê morto pela mãe no DF

10 de março de 2026
  • Quem Somos
  • Anuncie
  • Privacy & Policy
  • Contatos
10 de março de 2026
  • Conecte-se
  • Registro
Capital Brasília
  • Home
  • Brasil
  • Brasília
  • Política
  • Saúde
  • Esportes
  • Entretenimento
  • Mundo
Nenhum resultado
Ver todos os resultados
Capital Brasília
Nenhum resultado
Ver todos os resultados
Home Saúde

Com dor de cabeça frequente, mulher descobre tumor cerebral de 15 anos

por Redação Capital Brasília
27 de agosto de 2025
em Saúde
242 11
0
Com dor de cabeça frequente, mulher descobre tumor cerebral de 15 anos
491
COMPARTILHAMENTO
1.4k
VIEWS
Share on FacebookShare on TwitterWhatsApp

A professora britânica Nikita Sterling conviveu por mais de duas décadas com enxaquecas que acreditava serem apenas incômodos ocasionais. Os episódios começaram aos 18 anos e se mantiveram pouco frequentes durante muitos anos. No começo de abril de 2025, aos 39 anos, ela foi diagnosticada com meningioma de grau 1.

A professora relata em suas redes sociais que em outubro de 2024 começou a sentir dores de cabeça intensas e mais recorrentes, acompanhadas por uma pressão constante na cabeça. Em alguns momentos, as crises de dor se repetiam mais de 20 vezes ao dia e duravam até dez minutos.

Preocupada com a piora das dores, Nikita buscou atendimento médico. Mesmo após diversas tentativas com o clínico geral, não obteve respostas precisas. Em uma das crises mais graves, chegou a ser levada ao pronto-socorro pelo marido, Dean, mas não recebeu encaminhamento imediato para investigação.

Leia também
  • Saúde

    Mulher descobre tumor cerebral após alerta de smartwatch. Entenda
  • Saúde

    Homem diagnosticado com tumor cerebral alerta sobre sinal que ignorou
  • Saúde

    Anticoncepcional é alvo de processo por risco de tumor cerebral
  • Saúde

    Criança é diagnosticada com tumor cerebral após sentir dor ao espirrar

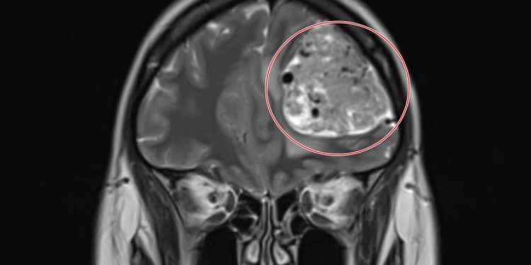
Ao decidir pagar aproximadamente R$ 2,5 mil por uma ressonância magnética particular, a vida da mulher mudou: poucas horas depois, ela recebeu uma ligação pedindo que fosse imediatamente ao hospital, pois os exames revelaram uma grande massa em seu lobo frontal esquerdo.

Nikita lembra do choque ao ver a imagem do tumor e ouvir do médico que se tratava de uma lesão cerebral de grandes proporções.

“Fiquei apavorada. Meus piores medos e preocupações se confirmaram. Eu tinha um tumor cerebral e não sabíamos que tipo era. Nunca senti tanto medo”, conta Nikita em um texto publicado na plataforma Given Gain. Ela está fazendo parte de uma campanha para arrecadar fundos para a instituição de caridade britânica Brain Tumour Charity.

No dia 7 de abril, ela se reuniu com um especialista e recebeu a notícia de que o tumor deveria ser removido, pois já representava risco de complicações neurológicas graves.

4 sinais comuns que podem indicar tumor cerebral

  1. Dores de cabeça frequentes.
  2. Alterações nos sentidos: tato, olfato, paladar, visão e audição.
  3. Crises epiléticas ou convulsões.
  4. Perda de equilíbrio.

A cirurgia foi marcada para o dia 22 de abril — data que coincidia com o aniversário de 40 anos de Dean. Apesar do medo, Nikita sentiu alívio por finalmente receber tratamento. O procedimento foi um sucesso, e apenas dois dias depois ela já estava em casa.

A recuperação, no entanto, não foi simples: ela enfrentou inchaço no rosto, pontos extensos na cabeça e perda temporária de sensibilidade no couro cabeludo. Ainda assim, poucas semanas depois, recebeu a melhor notícia possível: o tumor era benigno e de crescimento lento. Segundo os médicos, ele provavelmente esteve em evolução por mais de 15 anos.

“Meu risco de ter outro tumor é muito baixo. Saber que ficaria bem foi um dos maiores presentes que recebi”, afirma.
Foto colorida de uma grande cicatriz na cabeça, após retirada de tumor - MetrópolesNikita Sterling, 39 anos, foi diagnósticada com meningioma de grau 1. tumor benigno de crescimento lento

Desde então, Nikita vive em recuperação, ainda lidando com episódios de fadiga física e cognitiva, mas com enxaquecas muito menos frequentes e dolorosas. Ela diz que se sente grata por ter conseguido pagar pelo exame que permitiu o diagnóstico precoce, reconhece o privilégio da própria história e lamenta que muitas pessoas não tenham acesso a exames essenciais para identificar doenças graves.

Siga a editoria de Saúde e Ciência no Instagram e fique por dentro de tudo sobre o assunto!

Compartilhar196Tweet123Enviar
Redação Capital Brasília

Redação Capital Brasília

  • Tendendo
  • Comentários
  • Mais recente
Brasileiro que doou medula óssea 3 vezes: “Super-herói da vida real”

Brasileiro que doou medula óssea 3 vezes: “Super-herói da vida real”

14 de julho de 2025
Super Viagra: cientistas testam pílula significativamente mais forte

Super Viagra: cientistas testam pílula significativamente mais forte

20 de julho de 2025
Bar LGBT inaugura “mamódromo” e promove suruba beneficente. Veja fotos

Bar LGBT inaugura “mamódromo” e promove suruba beneficente. Veja fotos

12 de janeiro de 2024

Arena noivas: maior evento de noivas do Distrito Federal está de volta em sua 2ª edição

0

Sumo sacerdote nigeriano de Ifá participa de visita guiada ao Panteão Afro da Praça dos Orixás, em Brasília

0

Interdições no trânsito do Parque da Cidade neste domingo  

0
Ex fez videochamada para mostra mulher morta após esfaqueá-la no DF

Ex fez videochamada para mostra mulher morta após esfaqueá-la no DF

10 de março de 2026
Mesmo preso, policial penal que atirou em tatuador recebeu R$ 222 mil

Mesmo preso, policial penal que atirou em tatuador recebeu R$ 222 mil

10 de março de 2026
“Tenho certeza que a Justiça será feita”, diz pai de bebê morto pela mãe no DF

“Tenho certeza que a Justiça será feita”, diz pai de bebê morto pela mãe no DF

10 de março de 2026
Capital Brasília

Copyright © 2023 Capital Brasília.

Navigate Site

  • Quem Somos
  • Anuncie
  • Privacy & Policy
  • Contatos

Siga nos

Bem vindo de volta!

Entrar na conta

Forgotten Password? Sign Up

Create New Account!

Fill the forms bellow to register

All fields are required. Log In

Retrieve your password

Please enter your username or email address to reset your password.

Log In

Add New Playlist

Nenhum resultado
Ver todos os resultados
  • Home
  • Brasil
  • Brasília
  • Política
  • Esportes
  • Saúde
  • Entretenimento
  • Mundo

Copyright © 2023 Capital Brasília.

Are you sure want to unlock this post?
Unlock left : 0
Are you sure want to cancel subscription?
Vá para versão mobile